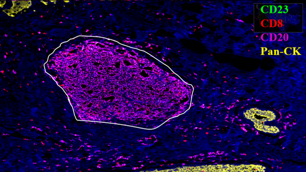
三级淋巴结构(TLS)作为肿瘤微环境中异位形成、高度组织的免疫细胞聚集区,是近年来肿瘤免疫领域的重大发现。其成熟结构以"T细胞区包围含生发中心(GC)的B细胞区"为典型特征。多项高水平研究证实,TLS是独立于PD-L1表达的强效预测指标——无论患者的PD-L1表达状态如何,肿瘤内若存在TLS,均与更长的生存期和更高的免疫治疗响应率显著相关。
TLS的功能取决于其结构完整性(如是否包含生发中心)及免疫细胞组成与空间关系,TLS的判断需要通过同步检测多项关键指标得以实现,因此高度依赖多重免疫荧光检测及扫描分析技术。
您现在的位置:








